While modern dentistry focuses on maintaining patient’s dentition for as long as possible, if there is no other option left, in that kind of situation dental extraction performed.
અત્યારના સમયમાં ડેન્ટિસ્ટ જ્યાં સુધી કુદરતી દાંત સચવાય રહે તેવો પ્રયાસ કરતા હોય છે પણ જો કોઈ બીજો ઉપાય ન હોય ત્યારે દાંત કાઢવો પડે છે.
What is Dental Extraction?
Dental procedure performed under local anesthesia.
under which teeth removal done from socket.
દાંત કાઢવાની પ્રક્રિયા શું છે ?
જરૂરી ભાગના બહેરો કે ખોટો કરી અને હાડકામાંથી દાંતને દૂર કરવામાં આવે છે.
Why Dental Extraction?
A dental extraction can be offered to patients for multiple reason.
However, 1st priority is always placed on retaining as much as of the dentition possible
દાંતને કાઢવાની જરૂર શા કારણે પડે છે?
ઘણા બધા કારણોસર દાંત કાઢવાની જરૂર પડે છે,પણ પહેલો પ્રયાસ તો જેટલા દાંત બચી શકે એટલા બચાવવાનો હોય છે.
Dental caries
Tooth fully arrested by caries and tooth become un restorable.

દાંત નો સડો
જ્યારે આખો દાંત સડી ગયો હોય અને બચાવી શકાય એવું ન હોય ત્યારે દાંત કાઢવો પડે છે.
Fracture teeth
fracture teeth not possible to restore.

દાંતમાં ફ્રેક્ચર
દાંતમાં ફ્રેક્ચર થયું હોય કે જે બચાવો શક્ય ન હોય
Retained Dental roots
After crown fracture there is only root present in oral cavity, which required extraction.

દાંતના મૂળિયા
જ્યારે દાંતનો ચાવવાનો ઉપયોગી ભાગ સડી ને કે અન્ય કારણોસર તૂટી ગયો ગયો અને ખાલી મૂળિયા રહ્યા હોય.
3rd Molar
In some case 3rd molar was causing discomfort, pain or damaging tooth nearby, must be extracted.


ડાહપણ દાઢ
ડાહપણ દાઢ દુ : ખાવો કરતી હોય અથવા બાજુના દાંતને નુકસાન પહોંચાડતી હોય
Severe periodontal Disease
Which leads to destruction of bone ,If tooth loss bone support, it become mobile

પેઢા ને લગતી તકલીફો
પેઢા ને લગતી તકલીફો ના લીધે દાંતની આજુબાજુનું હાડકું ખવાય જાય અને દાંતને આધાર ન મળે ત્યારે દાંત હલવા લાગે છે.
Pulpal or apical caries
Pulpal or apical pathology cannot be restored by root canal treatment.
દાંતના નસ ને લગતી સમસ્યાઓ
દાંતના નસ ને લગતી સમસ્યાઓ જે રૂટ કેનાલ ટ્રીટમેન્ટ દ્વારા મટી શકે એમ ન હોય
Impacted Teeth
Tooth cannot erupt due to physical barrier,
Teeth impacted again other teeth or within jaw where more chances of cyst.

હાડકા ની અંદર રહેલો દાંત
હાડકાની અંદર રહેલો દાંત ઘણી વાર બહાર આવી શકતો નથી અને તે અમુક સંજોગોમાં જડ બા માં ગાંઠ કરી શકે
Supernumerary teeth
Additional teeth present in between normal teeth.

વધારાનો દાંત
ઘણીવાર મોઢામાં વધારાનો દાંત હોય છે છે છે અમુક કિસ્સામાં કઢાવો જરૂરી બને છે
Teeth with pathology
Teeth associated with cyst, tumor or any other malignancy.

પેથોલોજી
દાંત સાથે કોઈ ગાંઠ કે પછી કોઈ હોય કે કેન્સર ની શરૂઆત હોય એવા દાંતને કઢાવી નાખવો પડતો હોય છે પડતો હોય છે
Orthodontic Extraction
In some case to create space in arch to movement of teeth

વાંકાચુકા દાંતની સારવાર
ઘણીવાર વાંકાચુકા દાંતની સારવારમાં દાંત માટે જગ્યા કરવા માટે અને દાંતના હલનચલન માટે દાંત કાઢવો પડતો હોય છે
How Dental Extraction done?
Dental extraction done Under local anesthesia, which numb area around tooth.
Dentist make tooth loose in the gum by instruments and pull the tooth out.
દાંત કાઢવાની પ્રક્રિયા કઈ રીતે કરવામાં આવે છે ?
જરૂરી ભાગના બહેરો અથવા ખોટો કરી સાધનો વડે દાંતને પેઢામાંથી ઢીલો કરી અને દૂર કરે છે.
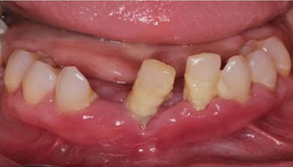
What care should be taken after tooth extraction/tooth removal?
Gauze – Gauze in your mouth after extraction is to stop bleeding and to form blood clot.Put it in mouth for at least for 1hour.
Ice cream -- Eat plan ice cream (vanilla)after that (after 1hour).
Bite – Take care you do not bite because area is numb so you would not feel for while, it will be normal soon
Ice pack -- Your lips and cheek may be numb, but this will wear off in a few hours.Put ice pack on outer side to decrease numbness.
No spilt out /No gargle –do not spilt out or gargle for at least 24hours.
Avoid—Avoid anything hot while eating or drinking
Medicine –Take medicine prescribed and instructed by dentist.
Why stiches after Dental Extraction?
· If necessary in some case stiches should be done after tooth removal.
· It helps to stop bleeding and helps in healing
દાંત કઢાવ્યા પછી ટાંકા લેવામાં આવે છે ?
· અમુક કિસ્સામાં દાંત કાઢ્યા પછી ટાંકા લેવા પડે છે
· રુજ આવવામાં મદદરૂપ બને છે અને લોહી અટકાવે છે

દાંત કઢાવ્યા પછી કઈ બાબતો ધ્યાનમાં રાખવી જોઈએ ?
રૂ દબાવેલું હોય એ લોહી લોહીને જમવામાં મદદરૂપ હોય છે તે એક કલાક સુધી મોઢામાં દબાવી રાખો
પ્લેન આઈસ્ક્રીમ વેનીલા લઈ શકાય( એક કલાક પછી )
24 કલાક સુધી થુકવું કે કોગળા કરવા નહીં
ગરમ જમવાનું તથા પીવાનું ટાળવું.
ખોટો કરેલો ભાગ હોય બટકું ના ભરાય એનું દયાન રાખવું.
બરફનો શેક હોઠ અને ગાલ નો ભાગ ખોટો હોય થોડીવારમાં સરખો થઈ જતો હોય છે બહારથી બરફનો શેક આપવાથી ખોટા ભાગમાં જલદી સારું થાય છે
દવાઓ ડેન્ટિસ્ટ દ્વારા આપેલી અને સમજાવેલી દવાઓ સમય પ્રમાણે યોગ્ય રીતે લેવી જોઈએ
What could be done After Extraction?
For some day you can feel discomfort.
May be there are temporary swelling on affected area, which will heal soon.
દાંત કઢાવ્યા પછી શું થઈ શકે ?
થોડા દિવસ ખાલી લાગી શકે
ક્યારેક થોડા ટાઈમ માટે સોજો આવી શકે છે જલ્દીથી સરખો થઈ જતો હોય છે
Follow up
Follow up should be done after 1week to know healing status.
ફોલો અપ
એક અઠવાડિયા પછી રુજ બરાબર આવે છે કે નહીં ફરી પાછું બતાવું જોઈએ
"
"