What is dental caries?
· Hole in teeth
· Caused by acid produce on tooth surface
· This acid production - mostly due to excessive consumption of chocolates, sweet and sugary food, sticky in nature which remains on tooth surface for long and combines with the bad bacteria present in saliva to produce acid.
· Make bacteria grow on tooth surface.
· Damage outer most layer of teeth(ENAMEL)this is main reason for cavity.
દાંતનો સડો શું છે ?
· દાંતમાં કાણું છે
· દાંત ની સપાટી પર એસિડના લીધે થાય છે
· વધારે પડતી ચોકલેટ મીઠાઈ અને મીઠો ખોરાક ખોરાક કે છે દાંત ઉપર ચોંટી જાય છે
· લાંબા સમય સુધી અને ત્યાં બેક્ટેરિયાનો વિકાસ કરે છે અને તે બહારનું પડ Enamel ને નુકસાન પહોંચાડે છે જે દાંતમાં સડા નું કારણ બને છે


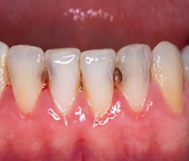
Stage of dental caries
Enamel caries and Dental caries
Earliest sign – Demineralization seen as black spot.
Small lesion on outer surface.
Treatment – Through restoration.
Most common composite Restoration

દાંતમાં સડા ના તબક્કા
· પહેલા કાળા કલરના ડાઘા દેખાય છે
· સારવાર -- બહારની સપાટી પર દાંતનો સડો દૂર કરી દાંતના કલર જેવું કમ્પોઝિટ મટીરીયલ ભરવામાં આવે છે
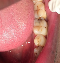
If this caries extending and involves pulp (vital part of tooth structure)
Sign of pulp involvement --
· Pain
· Swelling
· Discoloration of teeth
· Pain while chewing
· Pus formation on affected are
· Swelling of gums near affected teeth.
· In some case due to less vascular supply pain may be absent.
If pulp involvement is there Root canal treatment is must

જો સડો અંદરની નસ સુધી પહોંચી જાય તો નીચેના લક્ષણો જોવા મળે છે
· દાંતમાં દુ : ખાવો
· દાંતમાં સોજો
· દાંત નો કલર બદલાઈ જાઓ
· દાંતમાં કવારો
· દાંતમાં ચાવતી વખતે દુખાવો
· દાંતમાં રસી
· દાંતના નજીકના પેઢામાં સોજો
· અમુક કિસ્સામાં દુ : ખાવો ન થાય તો પણ સડો નસ સુધી હોય છે
What is Root canal treatment?
Dental procedure – Painless dental procedure, done under effect of local anesthesia,
That remove infected or damage pulp from tooth,
Followed by cleaning
And replace it with filling.

રૂટ કેનાલ ટ્રીટમેન્ટ શું છે?
· આ એક દુ :ખાવા વગરની દાંતની સારવાર છે.
· જેમાં જરૂરી ભાગ ને થોડીવાર માટે ખોટો અથવા બહેરો કરી(local anesthesia) , ચેપગ્રસ્ત ભાગને દૂર કરી સફાઈ કરી અને મટીરીયલ ભરવામાં આવે છે ફીલિંગ કરવામાં આવે છે
Why cover required after Root canal treatment?
· As caries affected was removed from tooth structure, tooth become weak to increase strength we need to cover it with crown.
· Tooth become discolored.
· It helps in chewing.
· Provide protection.
Increase life span of teeth

રૂટ કેનાલ પછી કવર કરવાની જરૂર શા માટે પડે છે?
· દાંતમાંથી સડેલો ભાગ દૂર કરવાથી દાંત નબળો બને છે, જેને મજબૂત કરવા માટે કવર કે ક્રાઉન કરવું જરૂરી છે
· દાંત નો કલર જળવાઈ રહે .
· દાંત ચાવવામાં વધુ ઉપયોગી રહે .
· દાંતને રક્ષણ પુર પાડે અને
· દાંતનું આયુષ્ય વધારે છે.
Why Root canal treatment over tooth removal?
· Saving natural teeth which help in chewing.
· Replacement of teeth not required
· Life span of teeth increases
· Teeth become helpful in chewing
· Provide support to bone
Improve look

રૂટ કેનાલ ટ્રીટમેન્ટ દાંત કઢાવવા કરતાં કેમ સારું છે?
· કુદરતી દાંત બચી જાય છે જે ચાવવામાં ઉપયોગી છે ,
· દાંત ની જગ્યાએ કૃત્રિમ દાંત મુકવાની જરૂર પડતી નથી .
· દાંતનું આયુષ્ય વધી જાય છે દાંત ઉપયોગી બને છે.
· હાડકાના આધાર પૂરો પાડે છે.
· દેખાવ સારો કરે છે.

Can Root canal treatment be done in single sitting?
· Yes, it can be done in single sitting,
if there is no evidence of pus or tooth is not severely damaged from outside.
શું રૂટ કેનાલ ટ્રીટમેન્ટ એક એકવારમાં થઈ શકે?
· એકવારમાં થઈ શકે પણ
· જો દાંતમાં કોઈ રસી ન હોય
· કોઈ વધારે પડતું દાંતમાં નુકસાન ન હોય
"
"