o Parents are the ones who take care for their children and make decision for them. Often people believe that primary teeth will shed ,it is not important to spent time/money on providing good oral health to children .
o માતા પિતા બાળકોને સંભાળ રાખવી અને એના વિશે નિર્ણયો લેતા હોય છે ત્યારે મોટાભાગે દુધિયા દાંત છે એ પડી જવાના છે એવા વિચાર સાથે એમાં કોઈ સમય કે પૈસાનો ખર્ચ ન કરવો તેવું વિચારે છે,

Ø Why milky teeth important?
Ø Each and every part of body have its significant role. likewise the milky teeth is as important as permanent teeth.
Ø It appears in mouth around 6months of age followed by completion of eruption at the age of 3. Full set of 20.
Ø eventually tooth exfoliation starts at age of 6 and completed around the age of 13 and 14yr followed by 3rd molar around 17to21yrs.
Ø Chewing
Ø This primary teeth helps children to chew food till permanent teeth appears ,
Ø Growth
Ø They maintain space for the later eruption of permanent teeth ,and needed for speech development.
Ø If lost too soon leads to crowding and vacant spot. or mal- alignment of teeth. and also affect look of child.


Ø :દુધિયા દાંત ને જાળવણી કરવી શા માટે જરૂરી છે?
Ø શરીરના દરેક અંગોની કાળજી લેવી જરૂરી છે એવી રીતે દુધિયા દાંત પણ એટલા જ જરૂરી છે એવા વિચારથી આપણે દુધિયા દાંતમાં થતી તકલીફો પર ધ્યાન આપતા નથી પણ જ્યાં સુધી ચાવવાના કાયમી દાંત ના આવે ત્યાં સુધી દુધિયા દાંતની જાળવણી કરવી જરૂરી છે
Ø જ્યારે બાળક છ મહિનાનો થાય ત્યારે તેને દાંત આવવાની શરૂઆત થાય છે અને જે ત્રણ વર્ષની ઉંમર સુધીમાં લગભગ 20 દાંત આવી જતા હોય છે
Ø છ વર્ષની ઉંમરે દાંત પડવાની શરૂઆત થાય છે અને બધા દાંત 13 થી 14 ની ઉંમર સુધી આવતા હોય છે પણ ડહાપણ દાઢ સહિત 17 થી 21 વર્ષ સુધી દાંત આવે છે
Ø આ સમયગાળા દરમિયાન બાળકને ચાવવા માટે આ બધા દાંત ઉપયોગી હોય છે
Ø જ્યાં સુધી કાયમી દાંત ન આવે ત્યાં સુધી દૂધિયા દાંત જડબામાં જગ્યા બનાવી રાખે છે જો સમય કરતા પહેલા સડા કે અન્ય કારણોસર દાંત પડી જાય તો વાંકાચુકા દાંત આવી શકે કાયમી દાંત તો એના સમયે જ આવતા હોય છે આવા સમયે બાળકને દેખાવ તથા ચાવવા પર અસર કરે છે
Ø જ્યાં સુધી કાયમી દાંત ન આવે ત્યાં સુધી બોલવામાં સ્પીચ ડેવલપમેન્ટમાં પણ આ જરૂરી છે.


Ø Why dental caries in children?
Ø This is mostly due to excessive consumption of choclates ,sweet and sugary food ,sticky in nature which remains on tooth surface for long ,eventually make bacteria grow on tooth surface, produce acid and damage outer most layer of teeth(ENAMEL)this is main reason for cavity in children.
Ø It is advisable for children to brush after sugary food intake
Ø This can be prevented by proper brushing technique
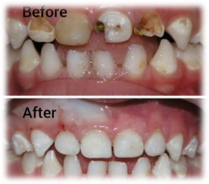
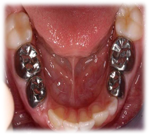
Ø If this does not get attention on time, It may lead to discoloration of tooth surface, which need immediate dental visit ,if it involves upper surface only it can be filled by resin base material.
Ø if it involves nerve tissue along with pain treated through root canal treatment followed by crown if necessary


Ø તમારા બાળકમાં સડા થવાના શું કારણો હોઈ શકે?
Ø વધુ પ્રમાણમાં મીઠાઈ ચોકલેટનું સેવન કરવાથી દાંત ખરાબ થઈ શકે મીઠી અને ચીકણી વસ્તુ લાંબા સમય સુધી દાંતમાં ચોંટી રહેતા બેક્ટેરિયાને ખોરાક આપે છે અને બેક્ટેરિયા એસિડ બનાવે છે જે દાંતના ઉપરના કઠણ પડ enamel નો ઘસારો કરે છે જે કેવિટી નું કારણ બને છે ચોકલેટ ખાધા પછી તાત્કાલિક બ્રશ ની આદત પાડો દાંતની યોગ્ય સંભાળ અને વ્યવસ્થિત બ્રશિંગ ટેકનીક દ્વારા સડો થતા અટકાવી શકાય છે
Ø જો દાંતના સડા માં લાંબા સમય સુધી ધ્યાન આપવામાં ન આવે તો સડો આગળ વધી ગયો હોય તો દાંતમાં કાળાશ પડતો ભાગ દેખાવા લાગે છે ત્યારે તાત્કાલિક એની ડોક્ટર દ્વારા સારવાર કરાવવી જરૂરી પડે છે
Ø જ્યારે સ્થળો દાંતના ઉપરના બંને પર સુધી હોય ત્યારે તે સ્થળો દૂર કરી રેઝિન બેઝ મટીરીયલ ફિલ કરી દાંત બચાવી શકાય છે
Ø જ્યારે સડો દાંતના ઉપરના બંને પર સુધી હોય ત્યારે તે સ્થળો દૂર કરી રેઝિન બેઝ મટીરીયલ ફિલ કરી દાંત બચાવી શકાય છે
Ø પરંતુ જ્યારે સાળો ખૂબ ઊંડો હોય દુ:ખાવો થતો હોય અને અંદરની નસ સુધી પહોંચી ગયો હોય ત્યારે બાળકોમાં મૂળિયાં ની સારવાર કરાવવી જરૂરી બને છે અને દાંતનું સ્ટ્રકચર પાછો મેળવવા માટે કવર કરવું જરૂરી બને છે


Ø What if tooth injured ,tooth broke or fall out due to sports activity or accident or any other reason?
Ø Must apply gentle pressure using clean cloth, gauze or cotton to control bleeding and immediately visit dentist.
Ø If tooth fall out ,try to place it back, avoid forcefully put it back in to socket. if you cannot put it back in socket ,place it in container of cold water ,milk
Ø Immediately contact dentist .

Ø બાળકોને રમતા રમતા આગળના દાંત ની ઈજા થાય કે પડી જાય તો તેની શું કાળજી લેવી?
Ø હળવા દબાણથી ચોખ્ખું કપડું રૂ દબાવી જલ્દીથી ડેન્ટિસ્ટ પાસે જવું જોઈએ.
Ø દાંત પડી ગયો હોય તો પાછું દબાણપૂર્વક મુકવાની કોશિશ ન કરવી ,આવા સમયે દાંતને ઠંડા પાણીમાં રાખી તાત્કાલિક ડેન્ટિસ્ટ નો સંપર્ક કરવો.

Ø what can parents observe?
Ø breakage of teeth due to accident
Ø pain and pus formation
Ø black discoloration of teeth due to caries
Ø do not ignore any of this sign as it may lead to further more damage.consult dentist immediately.
Ø માતા પિતા શું ધ્યાન રાખી શકે?
Ø તૂટેલો દાંત
Ø દાંત નો દુખાવો અથવા દાંતમાં રસી
Ø દાંત પર કાળા ડાઘા જો આવા કોઈ લક્ષણો દેખાય તે દાંતને વધારે નુકસાન પહોંચાડી શકે આવા સમયે તાત્કાલિક ડેન્ટિસ્ટના બતાવું જોઈએ
Ø What kind of habit generally children have?
Ø Nail sucking
Ø Mouth breathing
Ø Lip biting
Ø Thumb sucking
Ø Bruxism
Ø Tongue thrusting
Ø Prevention of habit
Ø This habit may occur due to stress ,tension or any other factor which can damage teeth
Ø In this case must consult doctor.
Ø This prevention of habit possible through appliances by doctor

Ø દાંતને નુકસાન કરતી કેટલીક આદતો
Ø નખ ચાવવાની આદત,
Ø મોઢેથી શ્વાસ લેવાની આદત
Ø ,હોઠ ચાવવા
Ø અંગૂઠો ચૂસવો
Ø દાંત ઘસવા
Ø દાંત ને નુકશાન કરતી આદત કંઈ રીતે અટકાવી શકાય?
ચિંતા, તણાવ અથવા અન્ય કારણો સર બાળકો માં ઉપર મુજબ ની આદતો જોવા મળી છે.
Ø આવી આદતો ડોક્ટર ની સલાહ મુજબ ના appliances દ્વારા અટકાવી શકાય છે.
Ø When there should be "First dental visit"?
Ø "First visit by first birthday "
Ø Should visit dentist when 1st teeth appears ,usually between 6to12months

Ø તમારા બાળકોને પહેલી વખત ડેન્ટિસ્ટના ક્યારે બતાવું જોઈએ ?
Ø જ્યારે બાળકને પહેલો દાંત આવે ત્યારે છ મહિનાથી એક વર્ષ સુધીમાં બતાવું જોઈએ.
Ø At which age teeth start shedding?
Ø Starts at age of 6to7 mostly completed around 13to14yr of age followed by 3rd molar 17to21yr
Ø તમારા બાળકોમાં દાંત પડવાની શરૂઆત ક્યારે થાય છે ?
Ø છ વર્ષની ઉંમરથી દાંત પડવાની શરૂઆત થતી હોય છે જે 13 થી 14 વર્ષની ઉંમર સુધીમાં બધા કાયમી દાંત આવી જતા હોય છે ડહાપણ દાઢ 17 થી 21 સુધીમાં આવી જાય છે

Ø Everyday care
Ø Tooth brush -Ultra soft bristle tooth brush
§ Change brush in every 3to6months
Ø Brushing technique - Proper technique must for maintain proper oral hygiene trough life
Ø Tooth paste- at 24months
Ø Below 2 yr - fluoride free
Ø After 2yr -fluoride contain

Ø રોજિંદા જીવનમાં દાંતની જાળવણી કઈ રીતે કરી શકાય ?
Ø ટૂથ બ્રશ- (soft) મુલાયમ રેશાવાળો જોઈએ છે ત્રણ થી છ મહિનામાં બદલી નાખવો જોઈએ
Ø બ્રશ કરવાની યોગ્ય રીત
Ø ટુથપેસ્ટ 24 મહિના પછી વાપરી શકાય બે વર્ષથી નીચેની ઉંમર fluoride વગરનું ,બે વર્ષથી ઉપરની ઉંમર fluoride વાળું


Ø Prevention provide by dentist/what can we do?
Ø Pit and fissure sealant
Ø Provide nearly by 80% protection ,reduce risk of decay in molar
Ø How it works?
Ø By filling cervices and tiny indentation that naturally occurs in teeth and eliminate place for bacteria to breed.
Ø Fluoride application
Ø Application of fluoride varnish or topical fluoride to prevent dental decay.

Ø ડેન્ટિસ્ટ કઈ રીતે તમારા બાળકના દાંતને રક્ષણ પૂરું પાડી શકે?
Ø
Ø પીટ એન્ડ ફિશર સિલન્ટ
Ø દાંતને ખાડાવાળી સપાટીના રક્ષણ પૂરું પાડી ત્યાં બેક્ટેરિયાને જમા થતા અટકાવે છે
Ø
Ø ફ્લોરાઈડ એપ્લિકેશન
Ø દાંત ની સપાટી પર ફ્લોરાઈડ નો પરત બનાવી તેના રક્ષણ પૂરું પાડે છે


Ø Why milky teeth important?
Ø Each and every part of body have its significant role. likewise the milky teeth is as important as permanent teeth.
Ø It appears in mouth around 6months of age followed by completion of eruption at the age of 3. Full set of 20.
Ø eventually tooth exfoliation starts at age of 6 and completed around the age of 13 and 14yr followed by 3rd molar around 17to21yrs.
Ø Chewing
Ø This primary teeth helps children to chew food till permanent teeth appears ,
Ø Growth
Ø They maintain space for the later eruption of permanent teeth ,and needed for speech development.
Ø If lost too soon leads to crowding and vacant spot. or mal- alignment of teeth. and also affect look of child.
Ø
Ø :દુધિયા દાંત ને જાળવણી કરવી શા માટે જરૂરી છે?
Ø શરીરના દરેક અંગોની કાળજી લેવી જરૂરી છે એવી રીતે દુધિયા દાંત પણ એટલા જ જરૂરી છે એવા વિચારથી આપણે દુધિયા દાંતમાં થતી તકલીફો પર ધ્યાન આપતા નથી પણ જ્યાં સુધી ચાવવાના કાયમી દાંત ના આવે ત્યાં સુધી દુધિયા દાંતની જાળવણી કરવી જરૂરી છે
Ø જ્યારે બાળક છ મહિનાનો થાય ત્યારે તેને દાંત આવવાની શરૂઆત થાય છે અને જે ત્રણ વર્ષની ઉંમર સુધીમાં લગભગ 20 દાંત આવી જતા હોય છે
Ø છ વર્ષની ઉંમરે દાંત પડવાની શરૂઆત થાય છે અને બધા દાંત 13 થી 14 ની ઉંમર સુધી આવતા હોય છે પણ ડહાપણ દાઢ સહિત 17 થી 21 વર્ષ સુધી દાંત આવે છે
Ø આ સમયગાળા દરમિયાન બાળકને ચાવવા માટે આ બધા દાંત ઉપયોગી હોય છે
Ø જ્યાં સુધી કાયમી દાંત ન આવે ત્યાં સુધી દૂધિયા દાંત જડબામાં જગ્યા બનાવી રાખે છે જો સમય કરતા પહેલા સડા કે અન્ય કારણોસર દાંત પડી જાય તો વાંકાચુકા દાંત આવી શકે કાયમી દાંત તો એના સમયે જ આવતા હોય છે આવા સમયે બાળકને દેખાવ તથા ચાવવા પર અસર કરે છે
Ø જ્યાં સુધી કાયમી દાંત ન આવે ત્યાં સુધી બોલવામાં સ્પીચ ડેવલપમેન્ટમાં પણ આ જરૂરી છે.
Ø
Ø Why dental caries in children?
Ø This is mostly due to excessive consumption of choclates ,sweet and sugary food ,sticky in nature which remains on tooth surface for long ,eventually make bacteria grow on tooth surface, produce acid and damage outer most layer of teeth(ENAMEL)this is main reason for cavity in children.
Ø It is advisable for children to brush after sugary food intake
Ø This can be prevented by proper brushing technique
Ø If this does not get attention on time, It may lead to discoloration of tooth surface, which need immediate dental visit ,if it involves upper surface only it can be filled by resin base material.
Ø if it involves nerve tissue along with pain treated through root canal treatment followed by crown if necessary
Ø
Ø
Ø તમારા બાળકમાં સડા થવાના શું કારણો હોઈ શકે?
Ø વધુ પ્રમાણમાં મીઠાઈ ચોકલેટનું સેવન કરવાથી દાંત ખરાબ થઈ શકે મીઠી અને ચીકણી વસ્તુ લાંબા સમય સુધી દાંતમાં ચોંટી રહેતા બેક્ટેરિયાને ખોરાક આપે છે અને બેક્ટેરિયા એસિડ બનાવે છે જે દાંતના ઉપરના કઠણ પડ enamel નો ઘસારો કરે છે જે કેવિટી નું કારણ બને છે ચોકલેટ ખાધા પછી તાત્કાલિક બ્રશ ની આદત પાડો દાંતની યોગ્ય સંભાળ અને વ્યવસ્થિત બ્રશિંગ ટેકનીક દ્વારા સડો થતા અટકાવી શકાય છે
Ø જો દાંતના સડા માં લાંબા સમય સુધી ધ્યાન આપવામાં ન આવે તો સડો આગળ વધી ગયો હોય તો દાંતમાં કાળાશ પડતો ભાગ દેખાવા લાગે છે ત્યારે તાત્કાલિક એની ડોક્ટર દ્વારા સારવાર કરાવવી જરૂરી પડે છે
Ø જ્યારે સ્થળો દાંતના ઉપરના બંને પર સુધી હોય ત્યારે તે સ્થળો દૂર કરી રેઝિન બેઝ મટીરીયલ ફિલ કરી દાંત બચાવી શકાય છે
Ø જ્યારે સડો દાંતના ઉપરના બંને પર સુધી હોય ત્યારે તે સ્થળો દૂર કરી રેઝિન બેઝ મટીરીયલ ફિલ કરી દાંત બચાવી શકાય છે
Ø પરંતુ જ્યારે સાળો ખૂબ ઊંડો હોય દુ:ખાવો થતો હોય અને અંદરની નસ સુધી પહોંચી ગયો હોય ત્યારે બાળકોમાં મૂળિયાં ની સારવાર કરાવવી જરૂરી બને છે અને દાંતનું સ્ટ્રકચર પાછો મેળવવા માટે કવર કરવું જરૂરી બને છે
Ø What if tooth injured ,tooth broke or fall out due to sports activity or accident or any other reason?
Ø Must apply gentle pressure using clean cloth, gauze or cotton to control bleeding and immediately visit dentist.
Ø If tooth fall out ,try to place it back, avoid forcefully put it back in to socket. if you cannot put it back in socket ,place it in container of cold water ,milk
Ø Immediately contact dentist .
Ø બાળકોને રમતા રમતા આગળના દાંત ની ઈજા થાય કે પડી જાય તો તેની શું કાળજી લેવી?
Ø હળવા દબાણથી ચોખ્ખું કપડું રૂ દબાવી જલ્દીથી ડેન્ટિસ્ટ પાસે જવું જોઈએ.
Ø દાંત પડી ગયો હોય તો પાછું દબાણપૂર્વક મુકવાની કોશિશ ન કરવી ,આવા સમયે દાંતને ઠંડા પાણીમાં રાખી તાત્કાલિક ડેન્ટિસ્ટ નો સંપર્ક કરવો.
Ø what can parents observe?
Ø breakage of teeth due to accident
Ø pain and pus formation
Ø black discoloration of teeth due to caries
Ø do not ignore any of this sign as it may lead to further more damage.consult dentist immediately.
Ø માતા પિતા શું ધ્યાન રાખી શકે?
Ø તૂટેલો દાંત
Ø દાંત નો દુખાવો અથવા દાંતમાં રસી
Ø દાંત પર કાળા ડાઘા જો આવા કોઈ લક્ષણો દેખાય તે દાંતને વધારે નુકસાન પહોંચાડી શકે આવા સમયે તાત્કાલિક ડેન્ટિસ્ટના બતાવું જોઈએ
Ø What kind of habit generally children have?
Ø Nail sucking
Ø Mouth breathing
Ø Lip biting
Ø Thumb sucking
Ø Bruxism
Ø Tongue thrusting
Ø Prevention of habit
Ø This habit may occur due to stress ,tension or any other factor which can damage teeth
Ø In this case must consult doctor.
Ø This prevention of habit possible through appliances by doctor
Ø
Ø દાંતને નુકસાન કરતી કેટલીક આદતો
Ø નખ ચાવવાની આદત,
Ø મોઢેથી શ્વાસ લેવાની આદત
Ø ,હોઠ ચાવવા
Ø અંગૂઠો ચૂસવો
Ø દાંત ઘસવા
Ø દાંત ને નુકશાન કરતી આદત કંઈ રીતે અટકાવી શકાય?
ચિંતા, તણાવ અથવા અન્ય કારણો સર બાળકો માં ઉપર મુજબ ની આદતો જોવા મળી છે.
Ø આવી આદતો ડોક્ટર ની સલાહ મુજબ ના appliances દ્વારા અટકાવી શકાય છે.
Ø When there should be "First dental visit"?
Ø "First visit by first birthday "
Ø Should visit dentist when 1st teeth appears ,usually between 6to12months
Ø
Ø તમારા બાળકોને પહેલી વખત ડેન્ટિસ્ટના ક્યારે બતાવું જોઈએ ?
Ø જ્યારે બાળકને પહેલો દાંત આવે ત્યારે છ મહિનાથી એક વર્ષ સુધીમાં બતાવું જોઈએ.
Ø
Ø At which age teeth start shedding?
Ø Starts at age of 6to7 mostly completed around 13to14yr of age followed by 3rd molar 17to21yr
Ø તમારા બાળકોમાં દાંત પડવાની શરૂઆત ક્યારે થાય છે ?
Ø છ વર્ષની ઉંમરથી દાંત પડવાની શરૂઆત થતી હોય છે જે 13 થી 14 વર્ષની ઉંમર સુધીમાં બધા કાયમી દાંત આવી જતા હોય છે ડહાપણ દાઢ 17 થી 21 સુધીમાં આવી જાય છે
Ø
Ø
Ø Everyday care
Ø Tooth brush -Ultra soft bristle tooth brush
§ Change brush in every 3to6months
Ø Brushing technique - Proper technique must for maintain proper oral hygiene trough life
Ø Tooth paste- at 24months
Ø Below 2 yr - fluoride free
Ø After 2yr -fluoride contain
Ø
Ø રોજિંદા જીવનમાં દાંતની જાળવણી કઈ રીતે કરી શકાય ?
Ø ટૂથ બ્રશ- (soft) મુલાયમ રેશાવાળો જોઈએ છે ત્રણ થી છ મહિનામાં બદલી નાખવો જોઈએ
Ø બ્રશ કરવાની યોગ્ય રીત
Ø ટુથપેસ્ટ 24 મહિના પછી વાપરી શકાય બે વર્ષથી નીચેની ઉંમર fluoride વગરનું ,બે વર્ષથી ઉપરની ઉંમર fluoride વાળું
Ø
Ø Prevention provide by dentist/what can we do?
Ø Pit and fissure sealant
Ø Provide nearly by 80% protection ,reduce risk of decay in molar
Ø How it works?
Ø By filling cervices and tiny indentation that naturally occurs in teeth and eliminate place for bacteria to breed.
Ø
Ø Fluoride application
Ø Application of fluoride varnish or topical fluoride to prevent dental decay.
Ø
Ø ડેન્ટિસ્ટ કઈ રીતે તમારા બાળકના દાંતને રક્ષણ પૂરું પાડી શકે?
Ø
Ø પીટ એન્ડ ફિશર સિલન્ટ
Ø દાંતને ખાડાવાળી સપાટીના રક્ષણ પૂરું પાડી ત્યાં બેક્ટેરિયાને જમા થતા અટકાવે છે
Ø
Ø ફ્લોરાઈડ એપ્લિકેશન
Ø દાંત ની સપાટી પર ફ્લોરાઈડ નો પરત બનાવી તેના રક્ષણ પૂરું પાડે છે
"